Tiroid Hastalıklarında Beslenme
Sevgili okurlar, “Hastalıklarda Beslenme Serisi” yazı dizimizin dördüncü bölümünde, boynumuzun hemen önünde yer alan, kelebek şeklinde küçük ama etkisi tüm vücudu saran bir bezden söz...
Kadın sağlığı kategorimiz aracılığıyla, tüm uzman hekim görüşlerinden derlediğimiz sağlık haberlerine ulaşabilirsiniz.
Sevgili okurlar, “Hastalıklarda Beslenme Serisi” yazı dizimizin dördüncü bölümünde, boynumuzun hemen önünde yer alan, kelebek şeklinde küçük ama etkisi tüm vücudu saran bir bezden söz...
Sevgili okurlar, “Hastalıklarda Beslenme Serisi” yazı dizimizin üçüncü konusuna hoş geldiniz. Bugün sizlerle, günümüzde yaygın olarak görülen ve çoğu zaman sessiz ilerleyen bir sağlık sorunu...
Sevgili okurlarım, “Hastalıklarda Beslenme Serisi” yazı dizimizin ikinci konusunda, tansiyon hastalıklarını ele alıyoruz. Genellikle “yüksek tansiyon” denince akla hipertansiyon gelir; ancak tansiyon yalnızca yüksek seyretmez,...
Bu hafta, “Hastalıklarda Beslenme Serisi” yazı dizimizin ilkinde, çağımızın en yaygın ve en sessiz ilerleyen hastalıklarından biri olan diyabeti ele alıyorum. Diyabet, sadece kan şekeriyle...
Bu hafta köşemde biraz kapsamlı bir yolculuğa çıkıyoruz. Çünkü her zaman söylediğim gibi: “Beslenme tek tip bir reçete değildir.” Hepimizin hikâyesi, genetik yapısı, yaşam tarzı,...
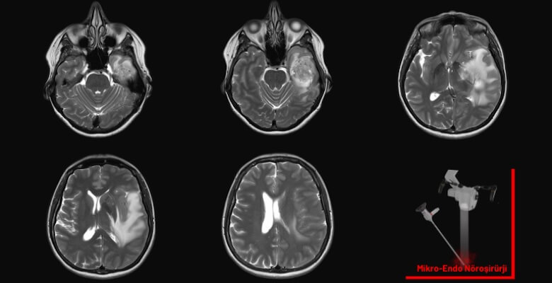
Son yıllarda beyin ve omurga cerrahisinde hasta profili belirgin biçimde değişti. Artık ameliyat masasında sadece ileri yaşlı hastalar değil, genç erişkinler de yer alıyor. Özellikle...
Beslenme bilimi, son yıllarda yalnızca “ne yediğimizle” değil, aynı zamanda “nasıl birleştirdiğimizle” de ilgileniyor. Çünkü bazı besinler, bir araya geldiklerinde tıpkı bir orkestranın enstrümanları gibi...
“Ekmek yemiyorum ama hâlâ kilo veremiyorum.” “21 gündür şekersiz beslendim ama sonra dayanamayıp tatlıya saldırdım.” “Bir ay boyunca sadece salata yedim, iki kilo verdim ama...
Birçoğumuzun zihninde yıllardır yer etmiş bir düşünce var: “Bu yiyecek kilo aldırır, şu içecek zayıflatır.” Yeşil çay içince metabolizmanın hızlanacağını, limonlu suyla yağların yakılacağını, bir...
Günümüzde masa başında çalışan milyonlarca kişi, uzun çalışma saatleri boyunca bilgisayar ekranına odaklanarak zaman geçiriyor. Bu durum, fark edilmeden gelişen ve zamanla yaşam kalitesini ciddi...